Otehotnieť nie je vždy jednoduché. Svoje o tom vie nejedna žena, ktorá si prešla neúspešnými pokusmi o bábätko a vypočula si nepriaznivé správy od doktorov. Nie všetky lekárske prognózy sa však plnia a aj z mizivej nádeje môže niekedy vzniknúť zázrak.
Svoje o tom vie aj 50-ročná Švédka Marie Gustavsson, ktorá napriek lekárskym predpokladom osem mesiacov po umelom oplodnení privítala na svet trojčatá – syna Charlieho a dcéry Lorinne a Laru.

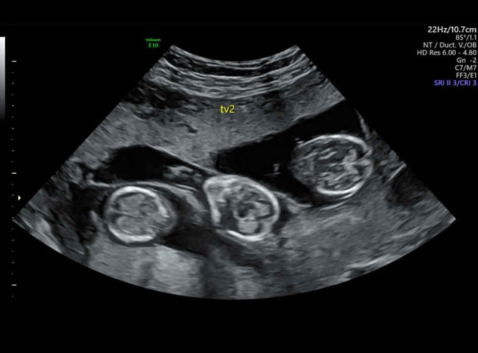
Lekári im dávali len malú šancu
„V 50 rokoch som porodila trojčatá po tom, čo mi povedali, že naša šanca je len 5 %,“ hovorí žena, ktorá bola predtým zdravotnou sestrou. Marie a jej manžel už mali štyroch spoločných synov – 31-ročného Sebastiana, 19-ročného Jespera, 8-ročného Lea a 3-ročného Louieho. Rozhodli sa však, že by si radi zaobstarali ešte jedno dieťa. Hoci im lekári odporúčali znížiť počet embryí kvôli rizikám spojeným s trojčatami, Marie to odmietla.
„Počas prechádzajúcich tehotenstiev som nemala žiadne problémy a zakaždým som otehotnela rýchlo. Napriek tomu sme si vzhľadom na môj vek nemysleli, že tentoraz to pôjde na prvýkrát. Preto sme nechali vložiť hneď tri embryá, aby sme maximalizovali šance. Lekári hovorili, že existuje len 5 % šanca, že sa uchytia, ale napokon sa to podarilo všetkým trom. Bola som taká šokovaná a šťastná. Bol to fantastický darček,“ rozplýva sa Švédka.
Marie zaplatila približne 5 500 eur za liečbu na Cypre a pozitívny test mala už tri dni po transfere. Trojčatá sa narodili akútnym cisárskym rezom a to bol jediný rozdiel oproti predchádzajúcim štyrom deťom, ktoré prišli na svet prirodzenou cestou. Charlie sa narodil s váhou 1,5 kila, Lorinne s váhou 1,3 kila a najmenšia Lara mala presne kilo.

„Keď som bola tehotná, moje brucho bolo ako veľký kameň. Necítila som ani, ako sa v ňom bábätká hýbu, pretože tam boli veľmi natlačené,“ spomína Marie.
Zo strachu nikomu nič nepovedali
Priateľom a rodine nič neprezradili, kým deti neprišli na svet, pretože si neboli istí, či všetky deti tehotenstvo a pôrod prežijú. „Pre všetkých to bol šok. Niektorí ľudia boli sklamaní, ale väčšina našej rodiny a priateľov mala z nás radosť. Niekto sa tiež pýtal, ako sa o ne postaráme. Niekoľko týždňov som sa bála a premýšľala, ako to zvládneme. Našla som si však dobrú pestúnku, ktorá nám pomáha,“ pochvaľuje si sedemnásobná mamička.
Marie prekvapila tvrdením, že materstvo v 50 rokoch je pre ňu jednoduchšie než v mladosti. „Byť teraz znova matkou nie je problém. Je to lepšie, než keď som mala 19 a nevedela som, ako sa o bábätko postarať. Teraz je to aj vďaka pestúnke ľahké,“ hovorí. Nemá pritom obavy ani o svoje zdravie.
„Vždy som sa snažila žiť zdravo a starať sa o seba, a to mi pomáha starať sa o moje deti. Vďaka nim som mladšia na tele i na duši. Nebojím sa, že tu s mojím najmladším dieťaťom nebudem tak dlho, ako by som si priala. Ani mladí ľudia nemajú žiadnu záruku, že budú žiť dlhšie. Môže sa skrátka stať čokoľvek. Tak prečo sa báť?“ uzatvára odhodlaná mamička.
Za predavačom pri samoobslužnej pokladnici prišiel muž a začal kričať: Chcel zariadiť, aby ho vyhodili
Jedna z najkrvavejších bitiek vojny: Američania dobyli ostrov Iwó-džima za cenu veľkých strát, hrdinom bol Slovák
Bola som na Hyroxe: Za 88 minút som zaplatila stovky eur. Je to jeden z najlepších zážitkov môjho života
Patrik a Gabriela predali byt na Slovensku a kúpili dom na Madeire: Je tu krásne, v nájme nám ale lezú šváby
Budete mať s nimi dokonalého Valentína: 10 skvelých romantických filmov, ktoré si užijú ženy aj muži
Brutálna mučiaca technika, ktorá fyzicky neublížila: Nahej obeti v plienke odopierali spánok aj 180 hodín












Nahlásiť chybu v článku