Keď sa pozriete do zrkadla s ústami otvorenými dokorán, v zadnej časti uvidíte drobný visiaci orgán, ktorému sa hovorí uvula. Viete ale, na čo slúži? Presne tomu nerozumejú ani lekári, no môže vám narobiť poriadne problémy.
Na čo vlastne slúži?
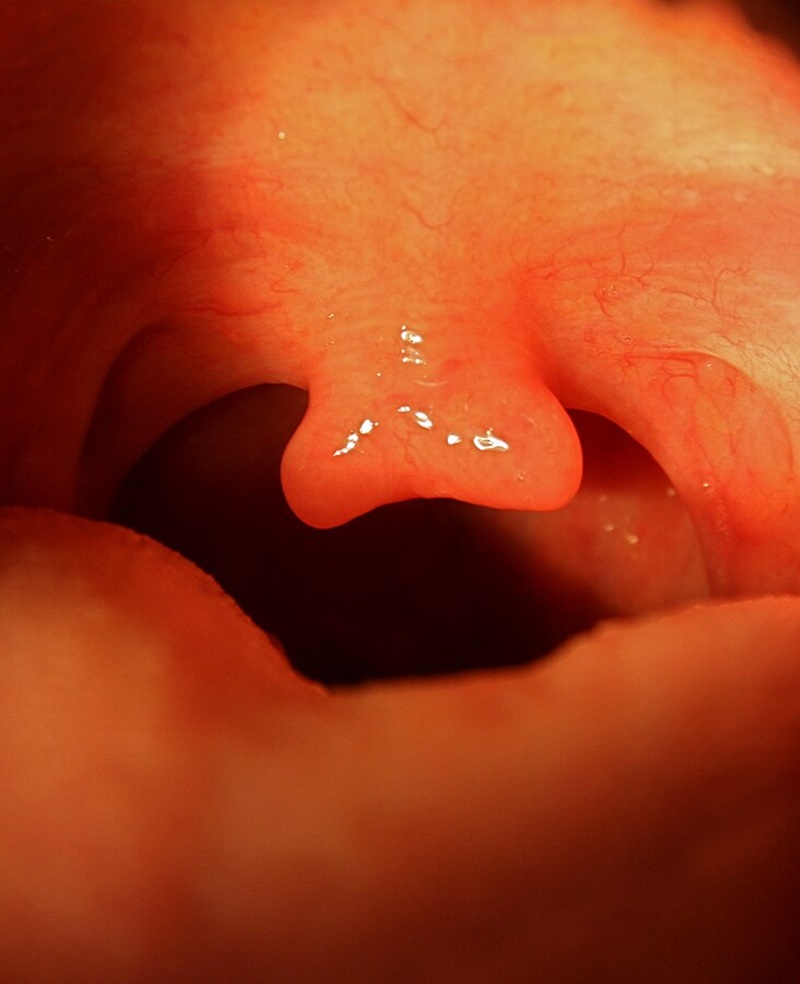
Ako píše web Science Times, uvula môže vyzerať u každého človeka inak, niekto ju má napríklad oválnu viac, niekto menej. Meria zvyčajne v priemere 5 až 25 milimetrov a pozostáva z rôznych typov tkanív. Obsahuje žľazové tkanivo, spojivové tkanivo a svalové tkanivo. Vo všeobecnosti má ružovkastú farbu s možnými odchýlkami u niektorých ľudí, ktorí majú červenú, fialovú alebo hnedú uvulu.
Uvula ako súčasť ústnej dutiny môže byť postihnutá rôznymi problémami a ochoreniami, ako je uvulitída alebo zápal uvuly a prítomnosť bielych škvŕn alebo hrbolčekov. U človeka sa môže vyvinúť aj vychýlený, rozdvojený alebo predĺžený typ uvuly.

Existujú prípady, keď je potrebné uvulu odstrániť. Zvyčajne sa to stáva vtedy, keď je príliš veľká a ovplyvňuje dýchanie. V niektorých prípadoch môže spôsobovať chrápanie alebo obštrukčné spánkové apnoe. Našťastie, človek dokáže bez uvuly žiť absolútne bez problémov.
Odborníci stále úplne nerozumejú hlavnému dôvodu, prečo máme uvulu. Skutočnosť, že len ľudia a paviány majú tento visiaci orgán v ústach, prispieva k záhade, pokiaľ ide o jeho skutočný účel. V priebehu histórie mali ľudia zaujímavé a protichodné predstavy o funkcii uvúl, ktoré sú zhromaždené v štúdii s názvom The Riddle of the Uvula (Záhada uvuly), ktorú v roku 1992 uverejnil otolaryngológ Jehuda Finkelstein.
Kedysi ju novorodencom vyrezávali
V štúdii sa píše, že ľudská uvula je väčšia a zložitejšia ako u paviánov. Finkelstein a jeho kolegovia sa domnievajú, že tento orgán zohráva dôležitú úlohu v reči, ktorou sa ľudia odlišujú od zvyšku živočíšnej ríše. Taktiež sa zistilo, že uvula dokáže vytvoriť veľké množstvo slín, ktoré sa následne môžu vylúčiť v krátkom čase.

Podľa niektorých odborníkov je uvula naozaj dôležitá pri tvorbe reči a ovplyvňuje aj kvalitu hlasu. V niektorých kultúrach bolo tradíciou uvulu odstraňovať, a to už od stredoveku. Našli sa dokonca oblasti, kde po chirurgickom zákroku bola bez uvuly väčšina obyvateľstva. Uvula sa odstraňovala u novorodencov oboch pohlaví a zvyčajne ju nevykonával lekár, ale napríklad holič.
Ďalší článok uverejnil odborník Robbie Gonzales, ktorý sa pýtal logopedičky Katie Plattnerovej na skutočný účel uvuly. Plattnerová opísala teóriu o funkcii uvuly pri zväčšovaní povrchu na spustenie dávivého reflexu. Teóriu dávivého reflexu podporuje aj prehľad, v ktorom G. S. Bassi poukázal na úlohu uvuly ako jednej z piatich zón, ktoré spúšťajú dávivý reflex.
Slováci chcú Sephoru aj svetoznámy diskont. Viacerým reťazcom sa u susedov darí, my ich zatiaľ nemáme
Mirka odišla z práce a presťahovala sa na Lombok: Jedlo v reštaurácii ma stojí 1 euro, riešim menej zbytočností
Naša redaktorka spala v izbe s cudzími ľuďmi za 15,60 eura na noc. Ako budú 1. a 8. mája otvorené obchody?
Bolo to ako zhodenie 40 atómových bômb: Havária v Černobyli patrí k najtragickejším udalostiam v dejinách
Nezomreli okamžite, hlavy žili ďalej aj bez tela. Popravy gilotínou boli vo Francúzsku bežné aj pred desiatkami rokov
Tvrdil, že situáciu v Černobyli má pod kontrolou. Riaditeľa elektrárne potom odsúdili na 10 rokov v pracovnom tábore
Muž, ktorý vychoval Al Caponeho: Mafiánsky bos Johnny Torrio naháňal strach aj Mussolinimu, zomrel pri holení











Nahlásiť chybu v článku