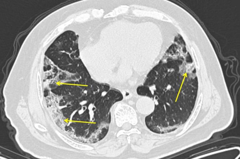
Na nedatovanej snímke je CT pľúc 65-ročného pacienta z Číny, ktorý má ochorenie COVID-19. Zápaľ plúc spôsobený novým koronavírusom je viditeľní ako výrazná hmlistá škvrna na vonkajších okrajoch pľúc označená šípkami. Foto: TASR/AP

Aj keď sa koronavírus šíri už niekoľko mesiacov, stále o ňom vieme pomerne málo.

Napríklad, nedávno vedci objavili súbor nových príznakov, ako je strata čuchu či chuti. Okrem toho, každý prežíva ochorenie ináč, niekto má len mierne príznaky, iný človek sa zas ocitne v ohrození života. Ako však koronavírus ovplyvňuje pľúca nakazeného človeka?

Lekári delia pacientov do štyroch kategórií

Keď sa koncom roka 2019 objavili prvé prípady nákazy, lekári sa nazdávali, že ide o zápal pľúc s neznámou príčinou. Neskôr sa ukázalo, že ochorenie spôsobuje nový vírus Sars-CoV-2.

V súčasnosti svet čelí pandémii, WHO však tvrdí, že väčšina ľudí prekoná nákazu len s miernymi príznakmi, ktoré pripomínajú chrípku. Až 80 percent nakazených ľudí sa dokonca zotaví bez toho, aby bol potrebný zásah špecialistu. Závažné príznaky, vrátane ťažkostí s dýchaním, postihnú približne 1 zo 6 ľudí. Ako sa teda môže z nákazy stať závažný zápal pľúc?

Ako informuje portál The Guardian, lekár John Wilson hovorí, že takmer všetky závažné prípady nákazy sú sprevádzané zápalom pľúc. Podľa Wilsona však možno ľudí nakazených koronavírusom zadeliť do štyroch kategórií, pričom najmenej ohrozenou je skupina jedincov, ktorí síce v tele majú vírus, neprejavujú sa však u nich žiadne príznaky ochorenia.

Do druhej kategórie patria ľudia s miernym priebehom príznakov, s kašľom a s horúčkou. Tretiu kategóriu tvoria ľudia s vážnejšími príznakmi pripomínajúcimi chrípku a štvrtú kategóriu tvoria ľudia, u ktorých sa vyvinie zápal pľúc.

Foto: pixabay

Zápal pľúc vyvolaný koronavírusom sa líši od bežného zápalu pľúc

Zatiaľ však lekári nevedia, ako zápalu pľúc zabrániť a navyše, pacientov ohrozujú sekundárne infekcie, ktoré môžu priebeh ochorenia sťažiť a človeka tak pripraviť o život. Zápal pľúc spôsobený koronavírusom je totiž iný, ako bežný zápal pľúc.

Za bežných okolností je zápal pľúc spôsobený bakteriálnou infekciou a organizmus reaguje na antibiotiká. Navyše, lekári postrehli, že zápal pľúc spôsobený koronavírusom postihuje celé pľúca a nie iba časť pľúc, ako pri bežných prípadoch.

Keď sa u človeka vyvinie zápal pľúc spôsobený koronavírusom, telo začne proti ochoreniu bojovať a robí všetko preto, aby zabránilo replikácii vírusu. U starších jednotlivcov a u ľudí s ochoreniami, ako je diabetes, rakovina či ochorenia srdca, môže byť tento obranný mechanizmus oslabený, následkom čoho sú viac ohrození, ako mladí a zdraví jedinci.

The Guardian
Uložiť článok

Najnovšie články